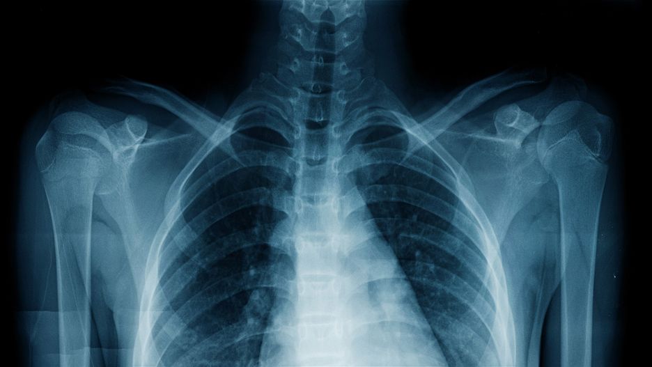
SI zaskoczyła naukowców. Rozpoznała rasę po zdjęciach rentgenowskich

Sztuczna inteligencja potrafi rozpoznać rasę na podstawie zdjęć rentgenowskich, podczas gdy naukowcy i eksperci główkują, jak to w ogóle możliwe.

SI zaskoczyła naukowców. Rozpoznała rasę po zdjęciach rentgenowskich 1
Źródło zdjęć: © © Getty Images
Konrad Siwik

Naukowcy odkryli, że SI może być w stanie zidentyfikować rasę człowieka na podstawie samych zdjęć rentgenowskich i tomograficznych z około 90-procentową dokładnością. Ich badania zostały opublikowane w czasopiśmie Lancet Digital Health.

"Kiedy moi studenci pokazali mi niektóre wyniki zawarte w tej pracy, pomyślałam, że to musi być błąd" – powiedziała Marzyeh Ghassemi, adiunkt w dziedzinie informatyki i medycyny na MIT oraz współautorka pracy w wypowiedzi dla "Boston Globe". "Szczerze mówiąc, myślałam, że moi uczniowie zwariowali, kiedy mi o tym powiedzieli" - dodała.

W celu sprawdzenia zdolności sztucznej inteligencji do rozpoznawania obrazów, modelowi głębokiego uczenia podano najpierw zdjęcia tomograficzne i rentgenowskie wielu różnych obszarów ciała odrębnych grup ludzi. Z obrazów usunięto etykiety wraz z wszelkimi możliwymi cechami identyfikacyjnymi, takimi jak kolor skóry i włosów, po czym poproszono SI o zidentyfikowanie rasy danej osoby. W przypadku wszystkich obszarów ciała SI była w stanie zidentyfikować rasę z około 90-procentową dokładnością, nawet bez żadnych cech identyfikacyjnych.

Mając na uwadze wszystkie podstawy, badacze zastanawiali się, czy SI nie działała podstępnie, wykorzystując statystyki do odgadywania na podstawie zmiennych, takich jak wskaźnik masy ciała (BMI) lub gęstość piersi, które mogłyby sugerować, że dana rasa jest inna. Naukowcy usunęli możliwe zmienne i pokazali SI tylko zestawy danych osób o podobnym BMI i typie ciała, ale mimo to maszyna była w stanie zidentyfikować rasę.

Naukowcy wysunęli hipotezę, że SI potrafi rozpoznać różnice w zawartości melaniny w skórze białych i czarnych osób, które mogą być widoczne na skanach tomograficznych i rentgenowskich, ale pozostawać niezauważalnymi dla ludzi. Zanim jednak SI będzie mogła być wykorzystywana w szpitalach, badacze będą musieli przeprowadzić dodatkowe obserwacje. "Nie możemy spieszyć się z wprowadzaniem algorytmów do szpitali i klinik, dopóki nie będziemy pewni, że nie podejmują one decyzji rasistowskich czy seksistowskich" – powiedział Leo Anthony Celi, współautor i profesor nadzwyczajny w Harvard Medical School.

Konrad Siwik, dziennikarz Fotoblogii

Źródło artykułu: WP Fotoblogia
Wybrane dla Ciebie
Gang fok przegania rekina. U wybrzeży Afryki foki dały popis współpracy
Gang fok przegania rekina. U wybrzeży Afryki foki dały popis współpracy
Nie uwierzysz na co patrzysz. Polacy w ścisłej czołówce takich zdjęć
Nie uwierzysz na co patrzysz. Polacy w ścisłej czołówce takich zdjęć
Niesamowity kadr przedstawiający pradawny gatunek skorupiaka wygrał prestiżowy konkurs
Niesamowity kadr przedstawiający pradawny gatunek skorupiaka wygrał prestiżowy konkurs
Ekstremalnie rzadki aparat został sprzedany za 3,5 mln euro. Wyprodukowano go 100 lat temu
Ekstremalnie rzadki aparat został sprzedany za 3,5 mln euro. Wyprodukowano go 100 lat temu
Kary za zdjęcia dzieci. Konsekwencje dla rodziców we Francji
Kary za zdjęcia dzieci. Konsekwencje dla rodziców we Francji
Rekin gonił cień drona. Zachowywał się, jak kot goniący zajączka
Rekin gonił cień drona. Zachowywał się, jak kot goniący zajączka
Brutalny atak jelenia na zdjęciu. Fotograf przestrzega turystów
Brutalny atak jelenia na zdjęciu. Fotograf przestrzega turystów
Widziałeś film z Hanksem? Aktor ostrzega przed oszustwem
Widziałeś film z Hanksem? Aktor ostrzega przed oszustwem
Perseidy, Droga Mleczna i świecące glony naraz. Oto zdjęcie jedno na milion
Perseidy, Droga Mleczna i świecące glony naraz. Oto zdjęcie jedno na milion
Meta wykorzystała publiczne zdjęcia z Facebooka i Instagrama do trenowania AI
Meta wykorzystała publiczne zdjęcia z Facebooka i Instagrama do trenowania AI
Prawdziwy skarb fotograficzny. Te zabytkowe aparaty nie zrobiły ani jednego zdjęcia
Prawdziwy skarb fotograficzny. Te zabytkowe aparaty nie zrobiły ani jednego zdjęcia
Tragedia podczas wycieczki. Kobieta spadła z urwiska robiąc selfie
Tragedia podczas wycieczki. Kobieta spadła z urwiska robiąc selfie
ZATRZYMAJ SIĘ NA CHWILĘ… TE ARTYKUŁY WARTO PRZECZYTAĆ 👀